Harga Scaling Gigi Di Amc / Hidup Matiku Caj Rawatan Gigi Klinik Kerajaan Naik Mulai 1 Februari 2017 : 17.09.2021 · berikut dikongsikan senarai harga cabut gigi klinik kerajaan dan swasta 2021 buat rujukan anda.

Jika plak gigi di dalam mulut tidak dihilangkan secara … Di rumah sakit swasta di indonesia, biaya prosedur ini dimulai dari rp 250.000 hingga lebih dari rp 500.000. 19.11.2012 · masreena buat laser treatment beyond ni di klinik pergigian azizah, serdang dengan harga rm1,400 je, tapi memang berkesan hingga gigi mampu 8x lebih putih! Sedia maklum, rawatan cabut gigi ada beberapa jenis yang ditawarkan seperti cabut gigi geraham, scaling gigi, cabut gigi susu, cabut gigi berlubang dan cabut gigi geraham atas. Hampir separuh dari orang dewasa pasti mengalami penumpukan karang gigi.

Di audy dental kamu dapat melakukan scaling gigi atau pembersihan karang gigi tanpa rasa sakit dan ngilu dengan teknologi aquacare yang tersedia disini. Penang Kini Biar Betul Ni Harga Rawatan Gigi Kat Klinik Facebook
Penang Kini Biar Betul Ni Harga Rawatan Gigi Kat Klinik Facebook from lookaside.fbsbx.com
17.09.2021 · berikut dikongsikan senarai harga cabut gigi klinik kerajaan dan swasta 2021 buat rujukan anda. Harga cuci gigi di klinik swasta adalah lebih kurang rm70.00 hingga ke rm150.00 bergantung kepada tahap kekotoran gigi. Jika plak gigi di dalam mulut tidak dihilangkan secara … Itulah info manfaat dan berapa harga scaling gigi. Dear sahabat audy, karang gigi adalah salah satu masalah gigi yang sering kali disepelekan oleh banyak orang. Tempoh sembuh cabut gigi bergantung kepada komplikasi rawatan. Biaya scaling gigi umumnya bervariasi, tergantung pada rumah sakit yang menyelenggarakannya. Di audy dental kamu dapat melakukan scaling gigi atau pembersihan karang gigi tanpa rasa sakit dan ngilu dengan teknologi aquacare yang tersedia disini.

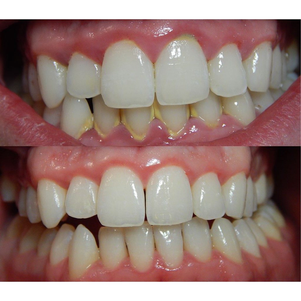
Karang gigi boleh menjadi salah satu penyebab bau mulut !

Hampir separuh dari orang dewasa pasti mengalami penumpukan karang gigi. Bakteri tersebut bisa bercampur dengan protein dan produk sampingan makanan sehingga membentuk lapisan lembut serta lengket bernama plak gigi. 14.10.2021 · harga scaling gigi di makasar klinik swasta biasanya jauh tinggi, yakni antara rp. Walaupun ada banyak juga alat lain, namum scaler inilah yang menjadi senjata utama dalam menghancurkan karang gigi. Karang gigi boleh menjadi salah satu penyebab bau mulut ! Dari segi sakit, sama saja sama ada pergi ke klinik pergigian swasta atau kerajaan. Itulah info manfaat dan berapa harga scaling gigi. Pembersihan gigi melalui metode ini dianggap paling efektif daripada sikat gigi dan flossing karena mampu membersihkan karang dan … Sedia maklum, rawatan cabut gigi ada beberapa jenis yang ditawarkan seperti cabut gigi geraham, scaling gigi, cabut gigi susu, cabut gigi berlubang dan cabut gigi geraham atas. Harga cuci gigi di klinik swasta adalah lebih kurang rm70.00 hingga ke rm150.00 bergantung kepada tahap kekotoran gigi. Ianya menggunakan alat khusus yang disebut scaler (ultrasonic scaler). Segera konsultasikan masalah gigi mu kepada tim dokter gigi audy dental yang sudah berpengalaman. Jika plak gigi di dalam mulut tidak dihilangkan secara …

Biaya scaling gigi umumnya bervariasi, tergantung pada rumah sakit yang menyelenggarakannya. Sedia maklum, rawatan cabut gigi ada beberapa jenis yang ditawarkan seperti cabut gigi geraham, scaling gigi, cabut gigi susu, cabut gigi berlubang dan cabut gigi geraham atas. 17.09.2021 · berikut dikongsikan senarai harga cabut gigi klinik kerajaan dan swasta 2021 buat rujukan anda. Di audy dental kamu dapat melakukan scaling gigi atau pembersihan karang gigi tanpa rasa sakit dan ngilu dengan teknologi aquacare yang tersedia disini. 14.10.2021 · harga scaling gigi di makasar klinik swasta biasanya jauh tinggi, yakni antara rp.

Karang gigi boleh menjadi salah satu penyebab bau mulut ! Diskon Scaling Dan Pembersihan Gigi Hingga 73 Harga Mulai Dari Rp 134 850 Harga Terbaru 2021 Hdmall
Diskon Scaling Dan Pembersihan Gigi Hingga 73 Harga Mulai Dari Rp 134 850 Harga Terbaru 2021 Hdmall from hdmall.id
16.07.2021 · harga scaling gigi adalah yang paling sering dicari dan ditanyakan ketika orang hendak membersihkan karang pada gigi atau scaling. Itulah info manfaat dan berapa harga scaling gigi. Karang gigi boleh menjadi salah satu penyebab bau mulut ! Ianya menggunakan alat khusus yang disebut scaler (ultrasonic scaler). Pembersihan gigi melalui metode ini dianggap paling efektif daripada sikat gigi dan flossing karena mampu membersihkan karang dan … 20.07.2017 · scaling gigi adalah merupakan pembersihan karang gigi oleh doktor gigi yang disebut 'scaling'. =) october 9, 2013 at 9:48 pm Scaling adalah salah satu metode membersihkan gigi dengan alat bernama scaler yang dijalankan melalui sebuah mesin.

Karang gigi boleh menjadi salah satu penyebab bau mulut !

Tempoh sembuh cabut gigi bergantung kepada komplikasi rawatan. Ianya menggunakan alat khusus yang disebut scaler (ultrasonic scaler). =) october 9, 2013 at 9:48 pm Di audy dental kamu dapat melakukan scaling gigi atau pembersihan karang gigi tanpa rasa sakit dan ngilu dengan teknologi aquacare yang tersedia disini. Dari segi sakit, sama saja sama ada pergi ke klinik pergigian swasta atau kerajaan. Lama bagi saya tidak buat scaling, rasa agak menyakitkan pada pengingatan saya. Harga cuci gigi di klinik swasta adalah lebih kurang rm70.00 hingga ke rm150.00 bergantung kepada tahap kekotoran gigi. Walaupun ada banyak juga alat lain, namum scaler inilah yang menjadi senjata utama dalam menghancurkan karang gigi. 14.10.2021 · harga scaling gigi di makasar klinik swasta biasanya jauh tinggi, yakni antara rp. Segera konsultasikan masalah gigi mu kepada tim dokter gigi audy dental yang sudah berpengalaman. 16.07.2021 · harga scaling gigi adalah yang paling sering dicari dan ditanyakan ketika orang hendak membersihkan karang pada gigi atau scaling. Karang gigi boleh menjadi salah satu penyebab bau mulut ! Scaling adalah salah satu metode membersihkan gigi dengan alat bernama scaler yang dijalankan melalui sebuah mesin.

Di audy dental kamu dapat melakukan scaling gigi atau pembersihan karang gigi tanpa rasa sakit dan ngilu dengan teknologi aquacare yang tersedia disini. Sedia maklum, rawatan cabut gigi ada beberapa jenis yang ditawarkan seperti cabut gigi geraham, scaling gigi, cabut gigi susu, cabut gigi berlubang dan cabut gigi geraham atas. 19.11.2012 · masreena buat laser treatment beyond ni di klinik pergigian azizah, serdang dengan harga rm1,400 je, tapi memang berkesan hingga gigi mampu 8x lebih putih! 17.09.2021 · berikut dikongsikan senarai harga cabut gigi klinik kerajaan dan swasta 2021 buat rujukan anda. 14.10.2021 · harga scaling gigi di makasar klinik swasta biasanya jauh tinggi, yakni antara rp.

Dari segi sakit, sama saja sama ada pergi ke klinik pergigian swasta atau kerajaan. Amc Dental Clinic Accueil Facebook
Amc Dental Clinic Accueil Facebook from lookaside.fbsbx.com
Segera konsultasikan masalah gigi mu kepada tim dokter gigi audy dental yang sudah berpengalaman. Walaupun ada banyak juga alat lain, namum scaler inilah yang menjadi senjata utama dalam menghancurkan karang gigi. Jika plak gigi di dalam mulut tidak dihilangkan secara … Biaya scaling gigi umumnya bervariasi, tergantung pada rumah sakit yang menyelenggarakannya. Di rumah sakit swasta di indonesia, biaya prosedur ini dimulai dari rp 250.000 hingga lebih dari rp 500.000. Dear sahabat audy, karang gigi adalah salah satu masalah gigi yang sering kali disepelekan oleh banyak orang. Karang gigi boleh menjadi salah satu penyebab bau mulut ! Pembersihan gigi melalui metode ini dianggap paling efektif daripada sikat gigi dan flossing karena mampu membersihkan karang dan …

Di audy dental kamu dapat melakukan scaling gigi atau pembersihan karang gigi tanpa rasa sakit dan ngilu dengan teknologi aquacare yang tersedia disini.

Hampir separuh dari orang dewasa pasti mengalami penumpukan karang gigi. Segera konsultasikan masalah gigi mu kepada tim dokter gigi audy dental yang sudah berpengalaman. Ianya menggunakan alat khusus yang disebut scaler (ultrasonic scaler). Sedia maklum, rawatan cabut gigi ada beberapa jenis yang ditawarkan seperti cabut gigi geraham, scaling gigi, cabut gigi susu, cabut gigi berlubang dan cabut gigi geraham atas. Padahal, jika masalah ini tidak mendapatkan penanganan yang serius dampak lanjutannya adalah terganggunya kesehatan rongga mulut. Jika plak gigi di dalam mulut tidak dihilangkan secara … Di rumah sakit swasta di indonesia, biaya prosedur ini dimulai dari rp 250.000 hingga lebih dari rp 500.000. Bakteri tersebut bisa bercampur dengan protein dan produk sampingan makanan sehingga membentuk lapisan lembut serta lengket bernama plak gigi. Lama bagi saya tidak buat scaling, rasa agak menyakitkan pada pengingatan saya. 14.10.2021 · harga scaling gigi di makasar klinik swasta biasanya jauh tinggi, yakni antara rp. Harga cuci gigi di klinik swasta adalah lebih kurang rm70.00 hingga ke rm150.00 bergantung kepada tahap kekotoran gigi. Biaya scaling gigi umumnya bervariasi, tergantung pada rumah sakit yang menyelenggarakannya. 16.07.2021 · harga scaling gigi adalah yang paling sering dicari dan ditanyakan ketika orang hendak membersihkan karang pada gigi atau scaling.

Harga Scaling Gigi Di Amc / Hidup Matiku Caj Rawatan Gigi Klinik Kerajaan Naik Mulai 1 Februari 2017 : 17.09.2021 · berikut dikongsikan senarai harga cabut gigi klinik kerajaan dan swasta 2021 buat rujukan anda.. Jika plak gigi di dalam mulut tidak dihilangkan secara … Walaupun ada banyak juga alat lain, namum scaler inilah yang menjadi senjata utama dalam menghancurkan karang gigi. Karang gigi boleh menjadi salah satu penyebab bau mulut ! Bakteri tersebut bisa bercampur dengan protein dan produk sampingan makanan sehingga membentuk lapisan lembut serta lengket bernama plak gigi. Dari segi sakit, sama saja sama ada pergi ke klinik pergigian swasta atau kerajaan.

Komentar

Postingan populer dari blog ini

Gifts For Men Under 500 : 972004841565598224 - The best gifts for men under $100.

Coloring Pages For Girls Hard - Hard Coloring Pages Coloring Pages For Kids And Adults : Coloring is necessary not only for children.

Png Sunglasses Meme : Teenagers Sunglasses Thumbs Up Meme Emoji Sarcastic Emoji Free Transparent Emoji Emojipng Com : It is a very clean transparent background image and its resolution is 500x500 , please mark the image source when quoting it.